论文信息

论文标题:A gut microbiota-bile acid axis promotes intestinal homeostasis upon aspirin-mediated damage
肠道微生物-胆汁酸轴在阿司匹林介导的损伤中促进肠道内环境平衡
期刊名称:Cell Host Microbe
影响因子:30.3(IF2023)
论文分区:中科院1区TOP;JCR Q1
发文时间:2024.01.17(出版)
D O I 号: 10.1016/j.chom.2023.12.015
第一单位:西安交通大学第一附属医院心血管内科
导读


2024年1月17日,西安交通大学第一附属医院心血管医学科吴岳、袁祖贻教授团队,与美国国家卫生研究院癌症研究中心Frank J. Gonzalez教授团队合作,于《细胞宿主与微生物》(Cell Host Microbe)在线发表了题为“A gut microbiota-bile acid axis promotes intestinal homeostasis upon aspirin-mediated damage”的研究论文。该研究阐释了一种肠道微生物金氏拟杆菌(P. goldsteinii)及其代谢物7-酮-立洛酮酸(7-keto-LCA)通过抑制胆汁酸受体FXR并维持肠道干细胞Wnt信号维持肠道稳态,而阿司匹林抑制金氏拟杆菌的生长,从而诱发肠损伤。
研究背景

由于阿司匹林的镇痛和潜在的抗肿瘤作用,已成为目前最常用的药物之一。多年来,阿司匹林的不良反应,如胃肠道损伤,一直引起人们的关注。值得注意的是,最近的报告表明,超过90%的服用阿司匹林的患者出现肠道毒性。阿司匹林诱导肠道损伤的机制已受到相当多的关注,但仍存在争议。阿司匹林抑制前列腺素内过氧化物合成酶1 (PTGS1)或环加氧酶(COX1和COX2),这两类酶被认为会介导胃肠道损伤。然而,进一步的研究发现,这些酶的抑制似乎不是阿司匹林相关肠病的唯一机制。此外,阿司匹林是一种口服药物,可被小肠吸收,且在小肠的浓度达到最高。因此,不能排除阿司匹林的不良反应可能部分是由于肠道微生物群的改变。
最近有报道显示,阿司匹林治疗与肠道菌群组成的改变有关。然而,哪些肠道微生物群会受到阿司匹林的影响,以及介导阿司匹林对宿主肠道稳态影响的潜在机制仍不清楚。越来越多的证据表明,肠道微生物群通过调节胆汁酸 (BA) 等代谢物影响肠道稳态和肠道干细胞功能,而肠道干细胞对于维持肠道屏障至关重要。多项研究表明,肠道菌群产生的 BA 在调节肠道干细胞的扩增、分化和自我更新方面发挥着关键作用。例如,法尼脂X受体 (FXR) 等BA受体在协调肠道干细胞响应损伤的更新和再生方面发挥着重要作用。然而,目前尚不清楚阿司匹林相关的肠道菌群失调和BA 的改变是否以及如何调节肠道干细胞生态位的稳态。
研究亮点

阿司匹林使用者有明显的肠道微生物群失调,导致肠道损伤。 被阿司匹林消耗的金氏拟杆菌(P. goldsteinii)能够减轻阿司匹林相关的肠道屏障破坏。 金氏拟杆菌及其代谢物7-酮-立洛酮酸(7-keto-LCA)维持肠道内稳态。 7-Keto-LCA作为FXR拮抗剂,能够促进Wnt信号传导和干细胞增殖。
试验结果
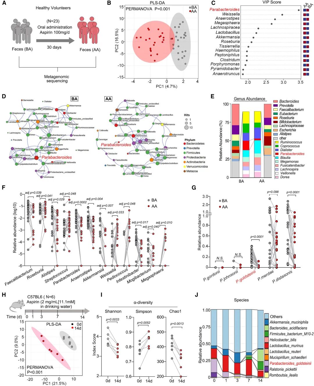
图1:阿司匹林诱导人和小鼠肠道生态失调


图2:阿司匹林损害肠道屏障功能,导致肠道损伤

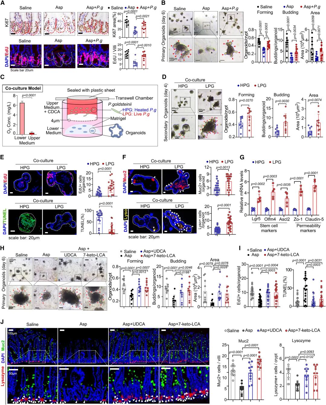
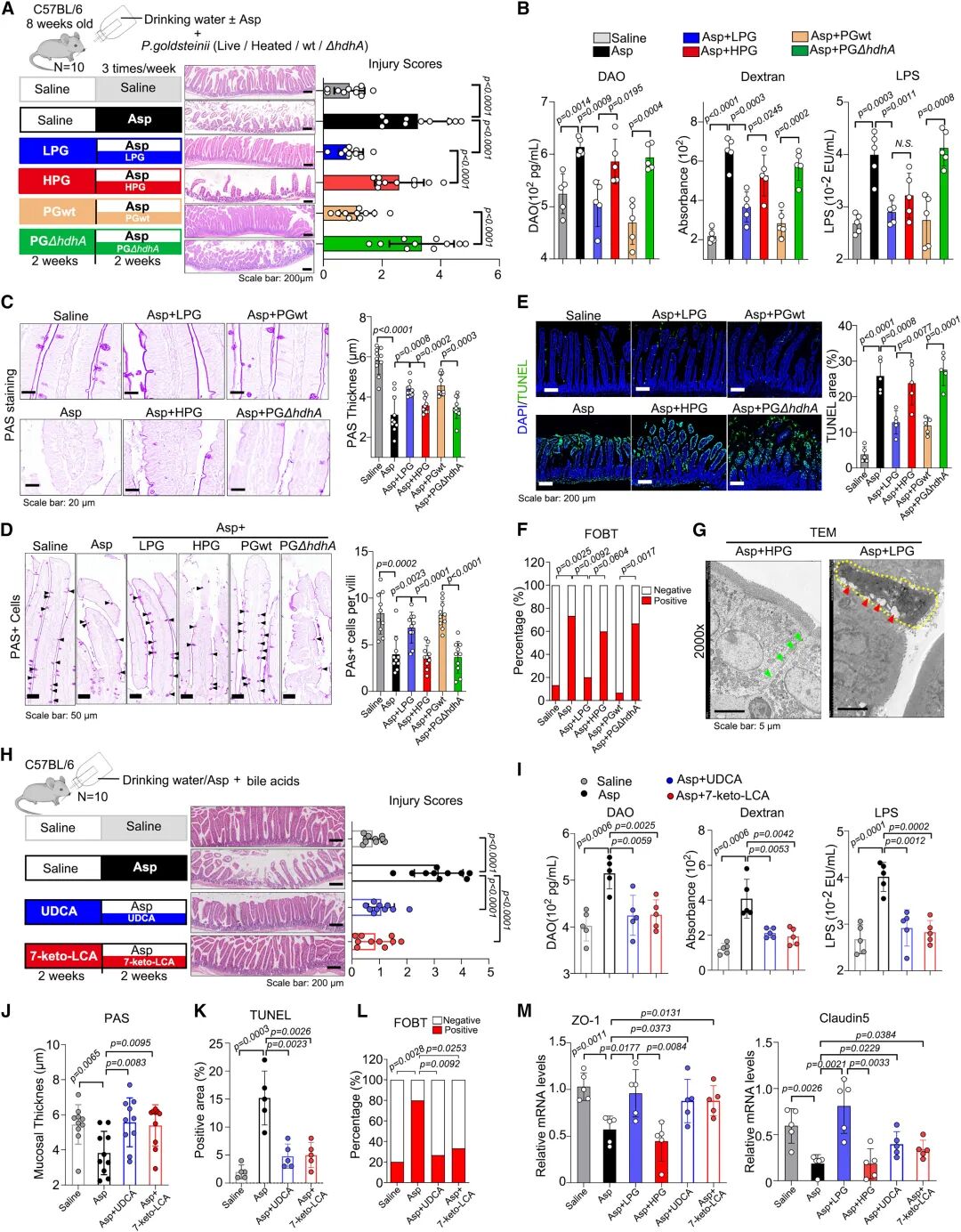
另外两种经典抗生素克林霉素和链霉素也被用来清除肠道菌群(CS组)。有趣的是,CS组金氏拟杆菌属的相对丰度没有变化。此外,保存金氏拟杆菌属的CS组经阿司匹林治疗后的肠道通透性、粘蛋白层厚度、隐窝细胞增殖和凋亡以及FOBT发生率的影响似乎更具抵抗力。这些结果提示,被新霉素根除的金氏拟杆菌属可能在肠道损伤中起作用。
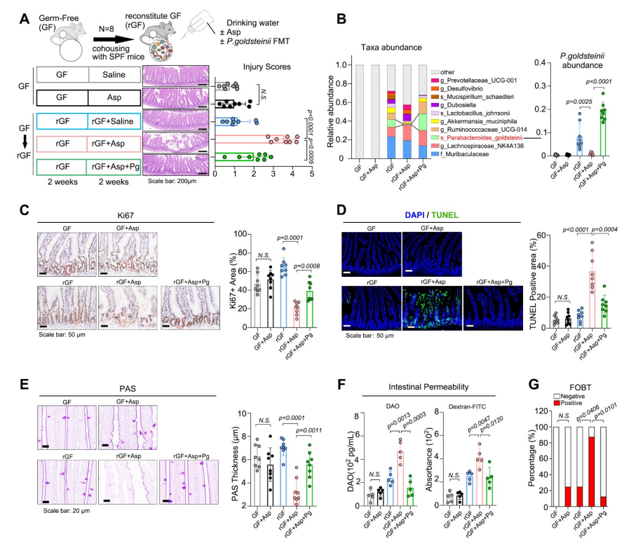
对无菌(GF)小鼠进行了更进一步的研究,一组GF小鼠直接用阿司匹林治疗2周,而一组GF小鼠(RGF组)首先通过与SPF小鼠共居使之自然获得菌群,然后再进行阿司匹林治疗。肠道内容物的16S测序显示,金氏拟杆菌属在阿司匹林治疗的RGF小鼠中成功定植。研究者发现阿司匹林对GF小鼠没有明显的有害作用。然而,服用阿司匹林的RGF小鼠的组织学具有显著更高的损伤评分和恶化的肠道表型。
这些数据表明,肠道微生物区系的重建可能介导了阿司匹林对肠道的破坏作用。


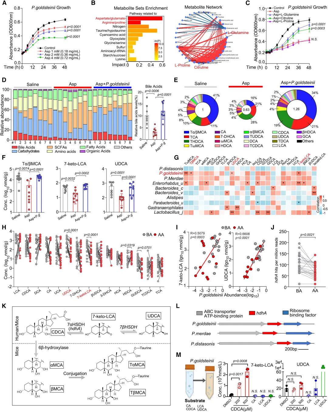
实验发现,阿司匹林处理后的金氏拟杆菌属生长受到剂量依赖性的抑制。非靶向代谢组学分析显示,阿司匹林相关代谢物富含与氨基酸代谢相关的化合物。其中L-谷氨酰胺、柠檬胺和L-脯氨酸被发现是核心成分。补充L-谷氨酰胺和柠檬黄氨酸可以缓解阿司匹林对金氏拟杆菌属生长的抑制,这表明阿司匹林可能通过干扰这两种代谢物的生物合成来影响金氏拟杆菌属。另外,研究还发现金氏拟杆菌属对宿主的代谢物有调节作用。阿司匹林治疗会显著降低肠道中某些胆酸的浓度,而金氏拟杆菌属移植则能保持这些浓度。此外,金氏拟杆菌属的丰度与胆酸呈正相关。上述结果表明,金氏拟杆菌属在调节肠道胆酸模式方面具有生物活性作用。研究还发现金氏拟杆菌属能产生7-酮-立洛酮酸,但不能产生熊去氧胆酸(UDCA),且金氏拟杆菌属的存在恢复了阿司匹林耗竭后的肠道胆酸谱的平衡。

图4:被阿司匹林耗尽的金氏拟杆菌属可恢复肠道微生物区系和胆汁酸代谢产物谱

研究发现,金氏拟杆菌属突变株PGΔhdhA(通过敲除 hdhA 基因构建了缺乏 hdhA 的 P. goldsteinii 突变株)无法将鹅去氧胆酸(CDCA)转化为7-酮-立洛酮酸。然而,hdhA对金氏拟杆菌属的生长没有影响,且其在宿主体内的定植也没有受到影响。使用活的金氏拟杆菌属(LPG)和野生型金氏拟杆菌属(PGwt)移植可以改善阿司匹林引起的肠道损伤,并恢复肠道通透性,而热杀死的金氏拟杆菌属(HPG)或PGΔhdhA则没有这种效果。进一步的分析显示,LPG和PGwt能够逆转阿司匹林对肠粘液屏障的破坏,并对杯状细胞有积极作用。此外,LPG的移植可以帮助恢复阿司匹林引起的肠道微生物失调。使用大肠杆菌(E. coli)构建了hdhA的功能增益模型,发现恢复hdhA的菌株(EcD:hdhA)在小鼠肠道中定植,并能降低肠道损伤评分,维持肠道屏障,增加隐窝中增殖细胞数量,并减少凋亡面积和FOBT发生率。此外,实验结果表明UDCA和7-酮-立洛酮酸都能预防阿司匹林引起的肠上皮损伤,并提高肠道紧密连接的标记物的mRNA水平。综上,这些研究结果显示,通过hdhA基因产生的胆汁酸可以预防阿司匹林引起的肠道损伤。

图5:金氏拟杆菌属通过hdhA基因改善阿司匹林诱导的肠道损伤

FXR 是一种BA受体,在肠道干细胞扩增和肠道屏障中起着关键作用。此前,研究发现调节FXR的活性可促进肠道细胞向肠样表型转分化。因此,研究使用了一种肠特异性FXR基因敲除的小鼠模型。Fxr-floxed 小鼠(Fxrfl/fl)和肠特异性 Fxr-null 小鼠(FxrΔIE)经阿司匹林治疗后,肠道屏障破坏、生长抑制、细胞凋亡、粘膜厚度、杯状细胞减少和 FOBT 率均有所减轻。更有趣的是,阿司匹林治疗后,核分布β-catenin和Olfm4的隐窝细胞数量减少,而通过敲除肠道FXR可减轻这一现象。此外,敲除FXR 后,杯状细胞和潘氏细胞的数量都增加了。为了确定抑制金氏拟杆菌的原因是阿司匹林还是随后的肠道损伤,对肠内容物进行了 16S 测序分析。阿司匹林改变了 Fxrfl/fl 和 FxrΔIE 小鼠微生物群的主要组成。在这些小鼠中,金氏拟杆菌的相对丰度都降低了,这表明阿司匹林直接诱导了金氏拟杆菌的抑制,而不是肠道损伤的结果。这些数据共同表明,FXR 部分介导了阿司匹林对肠道的影响。

图6:FXR肠道特异性敲除可减轻阿司匹林诱导的肠道损伤


图7:金氏拟杆菌通过调节胆汁酸代谢促进肠道自我更新

图8:7-酮-立洛酮酸是一种FXR拮抗剂,促进Wnt信号传导
总结

版权声明:本公众号中使用的图片及相关资料来源于上述学术论文及其补充材料或实验室官方发布的任何信息,标注“原创”仅代表原创编译,本公众号不主张对原文的版权,版权归原作者及出版社所有。如作者或版权所属机构不希望被转载或认为有侵权行为,请联系本平台删除。本平台的分享仅出于学术交流和传播信息需要,并不意味着相关内容代表本平台观点或已证实其内容的真实性。本平台尊重所有版权协议及相关法律法规。点击下方阅读原文,可直达原文链接!

关于肠道微生态康复
"君易置"生物科技是一家集医学研究、试验发展、技术服务于一体,专注于人体肠道微生态重建和肠道微生态个性化健康管理的高新技术企业。到目前为止,君易置已经与二十余家三级医院,共同合作开展基于菌群移植干预的临床和基础研究,已累计开展研究项目三十余项,部分项目已参与申报国家自然基金及各类基金。









